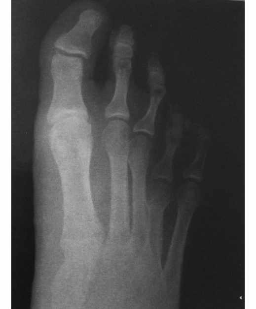
La Braquimetatarsia es un acortamiento anormal de uno o más metatarsianos, causado por un cierre prematuro del cartílago de crecimiento.
El cuarto metatarsiano es el más comúnmente afectado y tiene predominio en las mujeres. En la mayoría de los casos se presenta en ambos pies.
Los pacientes con este acortamiento metatarsal pueden presentar molestias al caminar por mal reparto de cargas dado que el metatarsiano afectado es más corto y puede no ser funcional, pero en la mayoría de los casos acuden a consulta por cuestiones estéticas.
En cuanto a los procedimientos quirúrgicos, los hay graduales donde podemos conseguir más de 1,5 cm, y procedimientos de alargamiento en una sola etapa, donde podemos conseguir hasta un máximo de 1,5cm.
Para los alargamientos graduales están los mini fijadores externos, y para los alargamientos en una sola etapa se encuentran los injertos óseos, placas y sustitutos óseos.

Radiografía de paciente con metatarsalgia previa a someterse a Cirugía

Radiografía de Postoperatorio alargamiento con injerto óseo y mini tornillos canulados.
Mándanos un Mensaje y te contactaremos lo antes posible