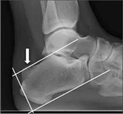
La deformidad de Haglund es el crecimiento excesivo de la parte superior externa de la tuberosidad posterior del calcáneo lo que produce un abultamiento en la parte posterior del talon.
Este tipo de deformidad se asocia con gran frecuencia a pacientes con inversión de la articulación subastragalina y puede provocar la inflamación de las bursas adventicias subcutánea y preaquilea.
El tratamiento de la enfermedad de Haglund con ortesis plantar personalizada puede aliviar en gran medida el dolor asociado a la deformidad de Haglund por medio de la estabilización del talón que impide el roce entre el tendón de Aquiles y el calcáneo, pero si no se soluciona con tratamiento conservador es posible recurrir a la cirugía para eliminar la exostosis que provoca la deformidad.

Mándanos un Mensaje y te contactaremos lo antes posible