Cirugía del Pie Plano Flexible | Hiperpronación

Pie Plano Flexible | Hiperpronación

La hiperpronación es una deformidad estructural del movimiento excesivo del hueso del tobillo (astrágalo) sobre el hueso del talón (calcáneo).

 

Este movimiento anormal causa a su vez movimiento igualmente excesivo de los huesos y tejidos blandos del pie.

 

El pie en hiperpronación o pie plano puede causar problemas en todo el sistema que forman el esqueleto y los músculos. La causa de esta anormalidad puede ser de tipo hereditario, por un desarrollo insuficiente del astrágalo o del calcáneo, lo que da por resultado el cierre anormal del seno del tarso.

Seno Del Tarso Normal en pie plano flexible

Seno Del Tarso Normal

Seno Del Tarso anormal en pie plano flexible

Seno Del Tarso Anormal

Técnica Quirúrgica para el Implante del Seno HyProCure™Tarso

El pie y el tobillo son preparados con las especificaciones del cirujano. (fig. 1)

 

 

Se realiza una incisión en la piel lineal oblicua en el seno del tarso de 1,5 a 2,0 cm de largo. (fig.2)

 

 

La incisión se disecciona roma con pinzas hemostáticas curvas a través del tejido subcutáneo en la cara anterolateral del seno del tarso. El ligamento interóseo se debe cortar en la parte del seno del tarso con una tijera de tenotomía. Esto es necesario para que el implante de acomode correctamente dentro del seno del tarso. (fig.3)

 

 

Se realiza una prueba insertando el implante provisional en el seno del tarso de anterolateral a posteriomedial proximal y la porción posterior del pie está evertido.
El objetivo es la realización de uno a tres grados de eversión del retropié. Si hay más de tres grados de eversión del retropié los medidores más grandes serán los necesarios.
Un alambre guía se coloca en la cánula del implante de prueba. (fig.4)

 

 

Secuencialmente, se insertan en el seno del tarso hasta el tamaño deseado. El calibrador se retira y el implante seleccionado se introduce. Cuando se nota resistencia el implante está en el lugar apropiado. (fig.5)

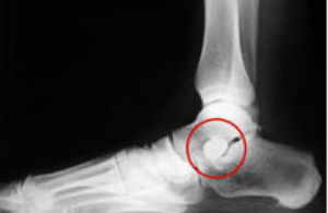
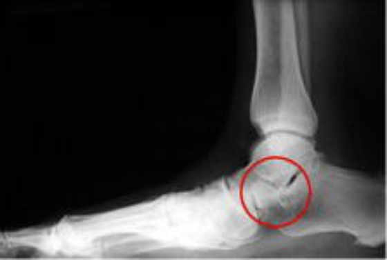
Radiografía lateral con implante colocado correctamente en pie plano flexible

Radiografía lateral con implante colocado correctamente en pie plano flexible

Implante HyProCure™ en pie plano flexible

Implante HyProCure™

Antes de la Cirugía del Pie Plano Flexible

Antes de la Cirugía del Pie Plano Flexible

Después de la Cirugía del Pie Plano Flexible

Después de la Cirugía del Pie Plano Flexible

Mándanos un Mensaje y te contactaremos lo antes posible