El Hallux Rigidus es una patología de la primera articulación metatarsofalángica que produce una pérdida progresiva de la movilidad del primer dedo del pie.
En estados iniciales esta limitación sólo está presente en situaciones de carga (al caminar, correr, saltar) pero en reposo y sin carga, el dedo tiene movilidad, a esto se le llama “Hallux Limitus Funcional”.
Cuando esta patología evoluciona y se va estructurando perdiendo totalmente la movilidad tanto en dinámica como en reposo, hablaremos de “Hallux Rigidus”. Según va avanzando el proceso degenerativo flexionar el dedo se vuelve más y más difícil.
Los síntomas y signos del Hallux Rigidux son varios, pero los más comunes son la presencia de dolor y rigidez en el primer dedo al caminar, presentando un bloqueo de la articulación en la fase de despegue. Esto conlleva a múltiples micro traumatismos que aceleran el proceso degenerativo de la articulación.
Las causas del Hallux Rigidux pueden ser múltiples: disfunciones biomecánicas y anomalías estructurales, como la hipermovilidad del primer radio, proceso degenerativo secundario a un trauma o microtrauma acumulado y enfermedades sistémicas.
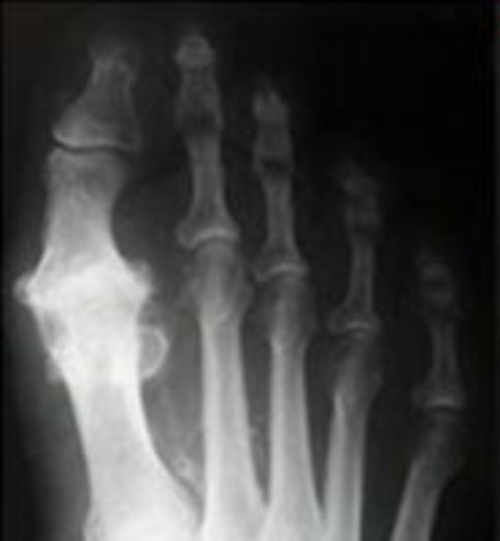
El diagnóstico del Hallux Rigidux se confirma con una exploración clínica junto con radiografías que evidencian una degeneración articular y proceso artrósico con presencia de osteofitos (crecimiento de hueso) en la base de la falange y cabeza del primer metatarsiano con anquilosis de la articulación.
Cuanto antes pueda diagnosticarse el Hallux Rigidux, más fácil será su tratamiento. Por eso, el mejor momento para consultar a un cirujano es cuando note el dolor o rigidez en el primer dedo por primera vez, ya sea al caminar, cuando permanezca de pie, se incline o cuando se ponga en cuclillas.

En los casos leves o leves moderados de Hallux Rigidus se recomienda el tratamiento conservador con terapia antiinflamatoria, infiltraciones y soporte plantar personalizado. Este tipo de tratamientos irán encaminados a retrasar el proceso y disminuir la sintomatología dolorosa, pero no lo solucionarán definitivamente.
Cuando el proceso degenerativo está muy avanzado y el tratamiento conservador no es eficaz, se recomienda la cirugía del Hallux Rigidux. Para la elección de la técnica adecuada se tienen en cuenta varios factores como la edad del paciente, el tipo de actividad física, la calidad ósea, el grado de destrucción articular entre otros.
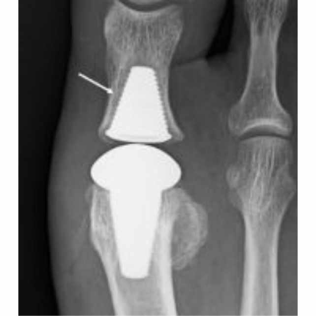
Dependiendo de estos factores se determinará si se realiza una artrodesis (fusión de la articulación), artroplastias o se opta por la recuperación de la movilidad de la articulación mediante hemiimplantes o implantes completos de la primera articulación metatarso falángica, según se considere lo más indicado en cada caso.

Técnica con implante completo

Radiografía de Implante completo en paciente con Hallux Rigidux

Resultados de Implante completo en paciente con Hallux Rigidux



Mándanos un Mensaje y te contactaremos lo antes posible